1. Tuyển Mod quản lý diễn đàn. Các thành viên xem chi tiết tại đây

Lớn tuổi có niềng răng được hay không?

Chủ đề trong 'Làm đẹp' bởi suckhoethammy, 19/01/2017.

  1. 0 người đang xem box này (Thành viên: 0, Khách: 0)
  1. suckhoethammy

    suckhoethammy Thành viên mới

    Tham gia ngày:
    19/10/2016
    Bài viết:
    77
    Đã được thích:
    0
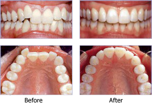
    Trong nha khoa, trẻ em là lứa tuổi tốt nhất để niềng răng thẩm mỹ, đặc biệt là trong mức độ tuổi đến từ 12 tới 13 tuổi do thời kì này răng vĩnh viễn thường mọc hoàn toàn nhưng chưa ổn định cần có thể dễ dàng tác động điều chỉnh Nếu như răng với bất kỳ sự lệch lạc nào. Tuy nhiên, điều này không có nghĩa là niềng răng chỉ vận dụng đối với người trẻ tuổi mà với sự phát triển của kỹ thuật trong nha khoa thì việc niềng răng thẩm mỹ không giới hạn tính tuổi, ngay cả người 50 tuổi thì vẫn có khả năng niềng răng để điều chỉnh, sắp xếp lại răng hô vẩu, lệch lạc trở phải đều khít trên cung hàm.

    Niềng răng người lớn tuổi sẽ không bao giờ quá muộn nhằm sở hữu hàm răng đẹp như ý, dẫu vậy thì người trưởng thành việc niềng răng sẽ phức tạp cùng tốn những thời gian hơn so với niềng răng nha khoa trẻ em và việc niềng răng nha khoa cũng đòi hỏi hàm răng của khách hàng nên khỏe mạnh cùng không mắc nhiều bệnh lý. Vì đấy, khách hàng không cần băn khoăn quá nhiều lớn tuổi với niềng răng hô được không nhé.


    [​IMG]



    Người trưởng thành thực hiện niềng răng như thế nào?

    Người trưởng thành có bộ răng vĩnh viễn của mình đã qua quá trình ăn nhai những năm cùng thường mắc những bệnh lý như sâu răng, mất răng do bệnh lý nha chu, nhiều răng mọc lệch lạc những bởi có di chuyển răng tự nhiên không thể kiểm soát trong các năm, hoặc vấn đề viêm nha chu mãn tính có thể gây tiêu xương, tụt nướu răng. Ngoài ra, theo tính tuổi răng của các bạn có thể sẽ bị mòn dẫn tới cắn xấu hoặc các bệnh về lợi. Do đấy, việc niềng răng nha khoa cho người lớn ngoài mức độ thẩm mỹ, còn giúp khôi phục lại chức năng cho hàm răng cùng giúp cho những bệnh lý khác như rối loạn khớp thái dương hàm.

    Bạn có thể xem thêm: tẩy trắng răng bao nhiêu tiền

    Ở Nha Khoa Đăng Lưu, chúng tôi đang đeo hệ thống mắc cài 3M UGSL tân tiến nhất hiện nay vào niềng răng cho bạn. Đây là sản phẩm của tập đoàn nha khoa xuyên quốc gia ESPE, được các bác sỹ trung tâm nha khoa danh tiếng Forsyth – Hoa Kỳ nghiên cứu cùng phát triển với mục đích niềng răng đạt kết quả vượt trội, phương pháp hiện đang được các nha sỹ Đăng Lưu vận dụng để chỉnh nha cho bệnh nhân và đem lại sự hài lòng cao nhất cho khách hàng.

    - Răng được sắp xếp lại thẳng hàng và đúng vị trí trên cung hàm theo mức độ toán của nha sỹ mà không với sự sai khác.

    - Răng cùng xương đều ổn định, vững chắc sau khi kết thúc chỉnh sửa răng. Không gây đau nhức các cho bện nhân trong suốt quá trình chữa trị.



    - Thời gian chữa trị được rút ngắn tối đa nhờ đeo hệ thống mắc cài linh động.

    Nguồn: Lớn tuổi có niềng răng được hay không?

Chia sẻ trang này