1. Tuyển Mod quản lý diễn đàn. Các thành viên xem chi tiết tại đây

Nên bọc răng sứ hay phủ Composite cho răng bị sứt mẻ?

Chủ đề trong 'Album' bởi Phamoanh2603, 05/05/2017.

  1. 1 người đang xem box này (Thành viên: 0, Khách: 1)
  1. Phamoanh2603

    Phamoanh2603 Thành viên quen thuộc

    Tham gia ngày:
    19/01/2017
    Bài viết:
    35
    Đã được thích:
    1
    Răng bạn bị sứt mẻ nhưng lại không biết nên bọc răng sứ hay phủ Composite thì bài viết sau đây của chúng tôi sẽ giúp bạn trả lời câu hỏi này.

    Ưu nhược điểm của 2 phương pháp phủ Composite và bọc răng sứ

    Phương pháp phủ composite thường được sử dụng cho các trường hợp răng bị sứt mẻ ở mức độ nhẹ. Ưu điểm của phương pháp này là tiết kiệm chi phí và không phải mài răng. Tuy nhiên chúng lại có khá nhiều nhược điểm như tuổi thọ không lâu, rất dễ bị bong tróc khi tiếp xúc trực tiếp với đồ quá nóng hoặc quá lạnh.

    [​IMG]
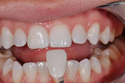
    Bọc răng sứ cho răng bị sứt mẻ

    Bọc răng sứ là phương pháp phục hình răng tiên tiến hiện nay. Một mão răng sứ sẽ được chế tác và chụp lên chiếc răng thật của bạn, do đó không chỉ khắc phục tình trạng răng bị sứt mẻ ở mức độ nhẹ, phương pháp này còn được sử dụng cho các mức độ cao hơn. So với phủ Composite, thì tuổi thọ của răng sứ lớn hơn rất nhiều nếu bạn thực hiện tại nha khoa uy tín cũng như có cách chăm sóc răng miệng đúng cách. (Xem thêm tại bài viết: Bọc răng sứ ở đâu tốt nhất Hà Nội để biết địa chỉ bọc răng sứ chất lượng, uy tín). Bên cạnh đó, khi sử dụng phương pháp bọc răng sứ bạn có thể ăn uống bình thường mà không lo răng bị vỡ hay bị bong tróc.


    Như vậy, với những thông tin trên đây chúng tôi tin rằng bạn có thể thấy phương pháp bọc răng sứ có nhiều ưu điểm vượt trội hơn so với phương pháp phủ Composite.

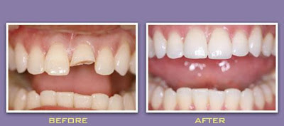
    Các trường hợp có thể bọc răng sứ

    Ngoài trường hợp răng bị sứt mẻ, vỡ nhiều thì bạn có thể sử dụng phương pháp bọc răng sứ trong các trường hợp sau:

    [​IMG]
    Các trường hợp nên bọc răng sứ

    - Răng bị sâu nặng hoặc viêm tủy, chết tủy.

    - Răng khấp khểnh, mọc lệch lạc. Để hiểu hơn về phương pháp này, bạn có thể tham khảo thêm tại: Bọc răng sứ cho răng khấp khểnh.


    - Răng bị hô, móm ở mức độ nhẹ. Nếu ở mức độ nặng thì niềng răng là mới là phương pháp hiệu quả. Để biết chính xác trường hợp của mình nên thực hiện phương pháp nào thì bạn cần đến thăm khám trực tiếp để bác sĩ biết được tình trạng răng miệng của bạn như thế nào.

    - Răng xỉn màu do nhiễm Tetracyline vì trường hợp này không thể sử dụng phương pháp tẩy trắng răng được. Nếu bạn bọc răng sứ để khắc phục tình trạng này thì có thể bọc răng sứ nguyên hàm hoặc bọc 16 chiếc/ 2 hàm, đây là vị trí khi cười người đối diện dễ nhìn thấy nhất.


    Chúc các bạn sớm lựa chọn được phương pháp hiệu quả và tốt nhất cho tình trạng của mình.

Chia sẻ trang này