1. Tuyển Mod quản lý diễn đàn. Các thành viên xem chi tiết tại đây

Niềng răng hô vẩu cho hàm răng đẹp hoàn thiện

Chủ đề trong 'Làm đẹp' bởi suckhoethammy, 05/12/2016.

  1. 0 người đang xem box này (Thành viên: 0, Khách: 0)
  1. suckhoethammy

    suckhoethammy Thành viên mới

    Tham gia ngày:
    19/10/2016
    Bài viết:
    77
    Đã được thích:
    0
    Một hàm răng hô sẽ là khuyết điểm khiến quý khách mất tự nhiên khi cười nói cùng tạo khoảng cách có mọi người xung quanh. Nhưng có kỹ thuật niềng răng hô tiên tiến ở nha khoa Đăng Lưu sẽ là công nghệ hiệu quả giúp các bạn nhanh chóng sở hữu hàm răng đều đẹp cùng nụ cười tự tin toả sáng.

    Ai phù hợp có niềng răng thẩm mỹ?
    Niềng răng vẩu hàm trên vầu chính là cơ hội tuyệt vời nhằm đông đảo chúng ta có khả năng hiện thực hóa giấc mơ sở hữu hàm răng đều đẹp, chuần nắn chỉnh và hài hòa với mục đích tự tin khi giao tiếp hàng ngày.

    Bạn có thể xem thêm: niềng răng móm như thế nào


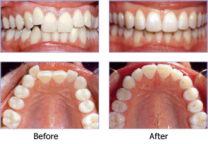
    [​IMG]


    Theo những bác sỹ chuyên khoa điều trị niềng răng nha khoa tại nha khoa Đăng Lưu công nghệ niềng răng thẩm mỹ hô ứng dụng hiệu quả trong nhiều hiện tượng sau đây:
    Răng mọc lệch lạc và có xu hướng mọc chĩa ra ngoài so có những răng còn lại.
    Răng hàm trên phát triển hơn so có răng hàm dưới gây ra trường hợp mất cân xứng khuôn hàm, ảnh hưởng ăn nhai.
    Vấn đề hô bởi răng.
    Bạn nên thực hiện niềng răng nha khoa hô càng sớm càng hiệu quả, đặc biệt là trong tính tuổi đến từ 9 – 21 tuổi vì tại tính tuổi này răng đang trên đà hoàn thiện bởi thế việc chỉnh, sắp xếp lại răng sẽ đạt được kết quả kết quả hơn, niềng răng trong bao lâu nhanh hơn nhiều so có người trưởng thành.

    Niềng răng thẩm mỹ hô có nhiều công nghệ nào?
    Hiện nay, với 2 phương pháp niềng răng giá rẻ tại nha khoa Đăng Lưu sẽ đem lại kết quả hoàn hảo nhất cùng đang được rất nhiều các bạn tin tưởng, lựa chọn, cho phản hồi hiệu quả về kết quả ấy là:
    Niềng răng thẩm mỹ mắc cài: niềng răng mắc cài sứ, niềng răng thẩm mỹ mắc cài kim loại, niềng răng mặc trong…
    Niềng răng thẩm mỹ không mắc cài: niềng răng không mắc cài Clear Align, Niềng răng trong suốt Invisalign.

    niềng răng ở đâu tốt? Tại nha khoa Đăng Lưu, bác sĩ sẽ dùng thăm khám, chụp phim kỹ lưỡng tình trạng răng miệng hiện ở của khách hàng nhằm xác định cụ thể nguyên nhân, mức độ hô móm ra sao. Sau ấy, xây dựng cho các bạn về ưu điểm của từng công nghệ niềng răng thẩm mỹ hô và tùy vào sở thích nhu cầu thẩm mỹ, điều kiện kinh tế các bạn sẽ tự lựa chọn cho mình công nghệ thích hợp nhất. Niềng răng hô vẩu cho hàm răng đều và đẹp, tự tin trong cuộc sống.

    Nguồn lấy tại: Niềng răng hô vẩu cho hàm răng đều và đẹp

Chia sẻ trang này