1. Tuyển Mod quản lý diễn đàn. Các thành viên xem chi tiết tại đây

Niềng răng không mắc cài giúp chỉnh nha hoàn hảo nhất

Chủ đề trong 'Làm đẹp' bởi suckhoethammy, 28/02/2017.

  1. 0 người đang xem box này (Thành viên: 0, Khách: 0)
  1. suckhoethammy

    suckhoethammy Thành viên mới

    Tham gia ngày:
    19/10/2016
    Bài viết:
    77
    Đã được thích:
    0
    Biện pháp niềng răng không mắc cài là giải pháp chỉnh nha đeo những “khay” trong suốt như máng tẩy tháo lắp được nhằm chuyển dịch răng, giúp chỉnh nha điều trị không cần dùng tới nẹp niềng răng nha khoa như mắc cài hay dây kim loại. Hiện nay, trên thế giới đã với hơn 1,5 triệu khách hàng đang được chỉnh nha niềng răng trong suốt còn gọi là Clear Aligner.

    Vì đấy nhiều kinh nghiệm cũng như cải tiến dựa trên cơ sở dữ liệu này là rất nhiều và đáng tin cậy. Với giải pháp này các bạn có nụ cười tự tin suốt thời gian điều trị và quý khách cũng sẽ nhận thấy răng đều hơn mỗi ngày. Thay khuôn 2 tuần một lần cùng răng sẽ di chuyển từng chút 1 cho đến với đạt được nụ cười chúng ta ao ước. các bạn có khả năng tháo khuôn nhằm thưởng thức các món ăn ưa thích cũng như chải răng cùng sử dụng chỉ nha khoa dễ dàng với mục đích bảo vệ răng và nướu của mình.

    Có thể bạn quan tâm: cấy implant ở đâu



    [​IMG]




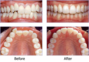
    Thực hiện nieng rang khong mac cai invisalign giúp khắc phục tình trạng răng chen chúc, mọc lộn xộn không chỉ gây mất thẩm mỹ, mà theo nhiều nghiên cứu gần đây, nó còn làm cho việc vệ sinh răng miệng trở nên không dễ khăn hơn, gây ra những bệnh về răng miệng như sâu răng, viêm nha chu, hôi miệng.. ngoài ra còn có thể ảnh hưởng đến sức khỏe toàn thân như gia tăng khả năng viêm nội tâm mạc bởi nhiễm trùng đến từ viêm nha chu mãn tính, đau dạ dày…Việc điều trị niềng răng thẩm mỹ cho thẳng hàng, đều đặn ngày nay không chỉ có ý nghĩa cực lớn vì độ thẩm mỹ của nụ cười mà còn có tác dụng chỉnh nha dự phòng. vì điều này, mà những nước tiên tiến trên thế giới, việc niềng răng sẽ được nhiều hãng bảo hiểm sức khỏe chi trả 1 phần.

    Nguồn: Niềng răng không mắc cài giúp chỉnh nha hoàn hảo nhất

Chia sẻ trang này