1. Tuyển Mod quản lý diễn đàn. Các thành viên xem chi tiết tại đây

Niềng răng người lớn tuổi dễ dàng, tiện lợi

Chủ đề trong 'Làm đẹp' bởi suckhoethammy, 17/01/2017.

  1. 1 người đang xem box này (Thành viên: 0, Khách: 1)
  1. suckhoethammy

    suckhoethammy Thành viên mới

    Tham gia ngày:
    19/10/2016
    Bài viết:
    77
    Đã được thích:
    0
    Hầu hết nhiều kỹ thuật niềng răng sẽ được chỉ định cho trẻ em và thanh thiếu niên. Bởi tại mức độ tuổi này, hệ cơ xương vẫn còn đang phát triển cần việc chỉnh và đưa nhiều răng mọc lệch về đúng vị trí trên hàm tương đối dễ. Ngoài ra, lúc còn nhỏ, các hệ thống cơ chưa bị lão hóa, nên có khả năng chịu được việc chằng, Nếu lâu dài của các khí cụ chữa trị, đem đến hiệu quả ăn nhai cố định cùng hiệu quả thẩm mỹ cao.

    Tuy nhiên, cũng có những tình trạng người lớn vẫn gặp nhiều tình trạng về răng lệch lạc, răng mọc chen chúc, xô đẩy… khiến cho hàm răng không đồng đều, cùng nụ cười không đẹp, ảnh hưởng tới công việc cùng giao tiếp hằng ngày. Có nhiều nguyên nhân khác nhau như thói quen, cách ăn uống, không đủ chi phí… mà khiến cho những người khi trưởng thành mới quyết định niềng răng.


    Nhưng việc niềng răng người lớn tuổi sẽ gặp khá những khó khăn cùng tốn các thời gian hơn do khi này cấu trúc xương hàm cùng răng đã phát triển ổn định. Sau đây là những cách niềng răng cho người lớn có thể mang lại kết quả và an toàn cho khách hàng.



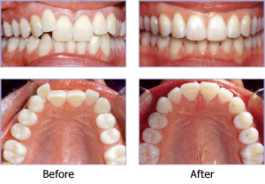
    [​IMG]



    Theo như giới chuyên gia khẳng định thì kỹ thuật niềng răng là một kỹ thuật với mục tiêu điều chỉnh cùng sắp xếp lại các vị trí của hàm răng cho đều đặn hơn, giải quyết được những vấn đề răng vẩu hàm trên, móm, khểnh, vẩu… cùng đặc biệt, phương pháp niềng răng nha khoa phù hợp với tất cả mọi người, không phân biệt giới mức độ, tuổi tác hay địa vị… Bất kỳ ai cũng có khả năng thực hiện và có hiệu quả cao với công nghệ này.

    Bạn có thể xem thêm: bọc răng sứ có phải lấy tủy không

    Phương pháp niềng răng cho người trưởng thành với đau không?


    Đối có người lớn tuổi thì việc niềng răng thẩm mỹ người lớn cũng không ra bất kỳ sự đau đớn nào, nó cũng không mất máu các nên phần nào sẽ giữ cho sức khỏe của bệnh nhân được giữ vững. Có hệ thống thiết bị máy móc chuyên dụng hiện đại, cộng với trình mức độ tay nghề chuyên môn của bác sĩ cao phải những bác sĩ nha khoa sẽ dễ dàng kiểm soát được các lực tác động lên hàm răng 1 cách nhẹ nhàng cùng ổn định nhất có khả năng. Chính vì vậy mà bệnh nhân sẽ giảm được sự đau đớn, đồng thời tránh được nhiều sai sót hay biến chứng có thể gặp nên trong quá trình niềng răng nha khoa. Việc niềng răng thẩm mỹ ở người lớn cũng hạn chế được sự tiêu xương cần khách hàng có khả năng yên tâm về tính bền chắc của hàm răng sau khi được phục hình.

    Nguồn: Niềng răng người lớn tuổi dễ dàng, tiện lợi

Chia sẻ trang này