1. Tuyển Mod quản lý diễn đàn. Các thành viên xem chi tiết tại đây

Niềng răng tháo lắp có mang lại hiệu quả cao không ?

Chủ đề trong 'Lào Cai - Yên Bái' bởi hiepph, 15/05/2016.

  1. 1 người đang xem box này (Thành viên: 0, Khách: 1)
  1. hiepph

    hiepph Thành viên mới

    Tham gia ngày:
    10/05/2016
    Bài viết:
    81
    Đã được thích:
    0
    “Chào bác sĩ Bệnh viện nha khoa KIM Hospital. Hàm răng của em bị móm từ nhỏ, những chiếc răng hàm dưới nhô ra rất khó coi. Năm nay em đã 18 tuổi nên em muốn chỉnh sửa lại hàm răng của mình. Giờ em muốn niềng răng nhưng lại ngại các mắc cài vì nhìn nó không được đẹp. Bác sĩ cho em hỏi là trường hợp của em có thể sử dụng niềng răng tháo lắp được không ? Và niềng răng tháo lắp có mang lại hiệu quả cao không ? Mong bác sĩ tư vấn giùm em.” ( Em Hari Won).
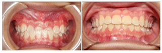
    [​IMG]
    Niềng răng tháo lắp cho hàm móm
    Niềng răng tháo lắp có mang lại hiệu quả cao không?
    Mến chào bạn Hari Won!
    Bệnh viện nha khoa KIM Hospital rất cám ơn sự quan tâm của bạn khi gửi câu hỏi về trung tâm. Với băn khoăn của bạn, chúng tôi xin giải đáp như sau:
    Hiên nay, có 2 phương pháp niềng răng được áp dụng cho trường hợp móm là: chỉnh nha-niềng răng cố định và niềng răng tháo lắp.
    • Niềng răng-chỉnh nha cố định là sử dụng các mắc cài bằng kim loại gắn lên mặt trước hay mặt trong của răng, và kết hợp với các dây thun định hình nhằm tạo lực kéo tác động di chuyển răng đến vị trí mong muốn. Sự dịch chuyển của răng sẽ được bác sĩ tính toán trước đó.
    [​IMG]
    Niềng răng mắc cài truyền thống
    • Niềng răng cố định gồm: mắc cài kim loại, mắc cài sứ, mắc cài tự buộc và mắc cài mặt lưỡi. Điểm chung của các phương pháp này là đều sử dụng mắc cài để chỉnh nha. Vì vậy mắc cài kim loại thường gây ra cảm giác vướng víu, chất chội trong miệng, khiến việc vệ sinh răng miệng, phát âm khá khó khăn. Và đặc biệt là nếu sử dụng mắc cài kim loại truyền thống thì hiệu quả thẩm mỹ trong quá trình chỉnh nha không cao.
    Để đem lại một hiệu quả chỉnh nha cao vừa đảm bảo thẩm mỹ ngay cả trong khi bạn niềng răng thì mắc cài tháo lắp là giải pháp hoàn hảo nhất.
    • Niềng răng tháo lắp với những tên gọi khác như: niềng răng-chỉnh nha không mắc cài,niềng răng trong suốt Invisalign, Clear Aligner. Phương pháp này sử dụng các khay trong suốt để làm dụng cụ tác động lực kéo nắn chỉnh răng.
    Niềng răng invisalign có những vượt trội so với các kỹ thuật truyền thống như:
    • Thẩm mỹ
    Các khay niềng được chế tác từ nhựa nha khoa trong suốt, ôm sát bề mặt răng nên có màu như màu răng thật. Vì vậy rất thẩm mỹ khi bạn niềng răng.
    [​IMG]
    Các khay niềng trong suốt ôm sát vào bề mặt răng
    • Thuận tiện
    Một bộ khay gồm các khay được sử dụng tương thích với từng giai đoạn dịch chuyển của răng, được đánh số thứ tự sử dụng tương ứng với từng giai đoạn dịch chuyể của răng và dễ dàng tháo lắp nên bạn sẽ rất thuận tiện trong thời gian mang kahy cũng như việc vệ sinh khay niềng. Đây là điều thuận lợi cho những khách hàng ở xa hay không có nhiều thời gian đến phòng nha.
    • An toàn
    Khay niềng được chế tác từ nhựa nha khoa lành tính với cơ thể nên bạn hoàn toàn có thể yên tâm khi sử dụng khay niềng một thời gian dài trong miệng.
    Băn khoăn của bạn Hari Won là niềng răng tháo lắp có mang lại hiệu quả cao không ? Ngoài những ưu điểm nêu trên thì niềng răng tháo lắp vẫn đem lại hiệu quả cao như những kỹ thuật niềng răng mắc cài thông thường.
    Trước tiên bác sĩ sẽ thăm khám, chụp phim X-quang để đánh giá cụ thể tình trạng răng của bạn. Sau đó tiến hành lấy dấu hàm và phân tích dữ liệu qua máy tính. Thông số dấu hàm và phác đồ điều trị sẽ được bác sĩ chuyển sang trung tâm Invisalign của hãng Align Technology Co tại Mỹ để chế tác khay chỉnh nha. Sự chế tác khay niềng đều đã tính toán từng gian đoạn dịch chuyển của răng.
    Thông thường, khoảng 2 tuần bạn sẽ thay khay một lần, nên mang khay khoảng 22 giờ / ngày để đạt hiệu quả chỉnh nha cao nhất. Quá trình niềng răng sẽ kéo dài từ 12 đến 24 tháng, tùy theo xương hàm cũng như tình trạng răng móm của bạn như thế nào. Sau thời gian này bạn sẽ nhận được một kết quả như ý muốn.
    Với những chia sẻ nêu trên hi vọng bạn đã phần nào giải đáp được thắc mắc của mình. Để có thể sở hữu một hàm răng đẹp, bạn hãy đếntrung tâm nha khoa của chúng tôi càng sớm càng tốt nhé.
    Hẹn gặp bạn tại trung tâm!
    Nguồn: http://dvchinhnhathaolapkim.blogspot.com/2016/05/nieng-rang-thao-lap-co-mang-lai-hieu.html

Chia sẻ trang này