1. Tuyển Mod quản lý diễn đàn. Các thành viên xem chi tiết tại đây

Ơn giời! Nguyên liệu rẻ tiền 'đánh bay' cao răng đây rồi

Chủ đề trong 'Làm đẹp' bởi nguyenanh099, 16/12/2016.

  1. 1 người đang xem box này (Thành viên: 0, Khách: 1)
  1. nguyenanh099

    nguyenanh099 Thành viên quen thuộc

    Tham gia ngày:
    01/08/2016
    Bài viết:
    177
    Đã được thích:
    0
    Ơn giời! Nguyên liệu rẻ tiền 'đánh bay' cao răng đây rồi

    Thông thường, bạn sẽ đến gặp các nha sĩ khi gặp vấn đề này, tuy hiên, bạn cũng có thể loại bỏ lớp mảng bám cứng đầu trên răng này tại nhà rất dễ dàng bằng những nguyên liệu rẻ tiền.

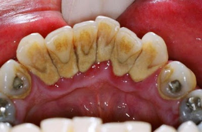
    Cao răng là mảng bám màu vàng hoặc nâu tích tụ lâu ngày bên trong răng, nếu không loại bỏ, lớp mảng bám này sẽ dẫn điếm viêm nha chu.

    Nhưng xin hãy lưu ý, mặc dù không làm sạch ngay các cao răng trong 1 lần như nha sĩ nhưng phương pháp này còn phòng ngừa sự trở lại của mảng bám và cao răng rất tốt.

    [​IMG]


    >>> Xem thêm chi tiết dịch vụ tại đây: http://nhakhoaquocteaau.com/kien-thuc-nha-khoa.html

    Cao răng tích tụ lâu ngày.

    Để loại bỏ cao răng tích tụ tại nhà, bạn hãy chuẩn bị các loại nguyên liệu sau:

    – Oxy già.

    – Nước.

    – Baking soda, mua tại các siêu thị và tiệm bánh trên toàn quốc.

    – Nước súc miệng sát khuẩn.

    – Chỉ nha khoa.

    – Bàn chải đánh răng mới.

    [​IMG]

    Nguyên liệu “rẻ bèo” cạo cao răng.

    Thực hiện:

    – Trộn 1 chén oxy già với 1/2 chén nước ấm với nhau, súc miệng trong vòng một phút. Sau đó,

    >>> Xem thêm chi tiết tại đây: http://cauhoinhakhoa.blogspot.com/2016/12/nguyen-lieu-re-tien-anh-bay-cao-rang.html
  2. selena91

    selena91 Thành viên tích cực

    Tham gia ngày:
    03/08/2016
    Bài viết:
    319
    Đã được thích:
    8
    dùng cách này sợ có hại gì không vậy ạ

Chia sẻ trang này